See Explanation
[]
Rheumatology
connective tissue disorders
dermatomyositis
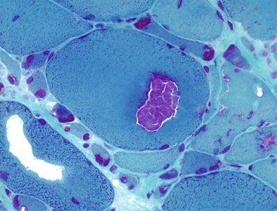
A 55-year-old man presents to the general medicine clinic complaining of progressive weakness over the past three months. He describes difficulty lifting objects above his head, struggling to get up from a seated position, and has recently started choking on both solids and liquids. He also mentions a new rash. On examination, there is notable symmetric proximal muscle weakness in the deltoids and quadriceps, with mild atrophy. Inspection of the skin reveals a subtle, reddish-purple discoloration on his upper eyelids, accompanied by mild periorbital edema. Furthermore, erythematous, slightly raised plaques are observed over the dorsal aspects of his metacarpophalangeal joints and proximal interphalangeal joints, along with similar lesions on his elbows and knees. Neurological examination reveals intact sensation and normal deep tendon reflexes. An electromyogram (EMG) shows spontaneous fibrillations, positive sharp waves, and short-duration, low-amplitude polyphasic potentials. Considering the patient's presentation, what is the most likely diagnosis and the appropriate initial therapeutic approach?
| Lab Parameter | Value | Reference Range |
|---|---|---|
| Creatine Kinase (CK) | 2500 U/L | < 200 U/L |
| Lactate Dehydrogenase (LDH) | 500 U/L | < 250 U/L |
| Erythrocyte Sedimentation Rate (ESR) | 40 mm/hr | < 15 mm/hr (men) |
| Antinuclear Antibody (ANA) | Positive, 1:320 (speckled) | Negative |
Edit question

